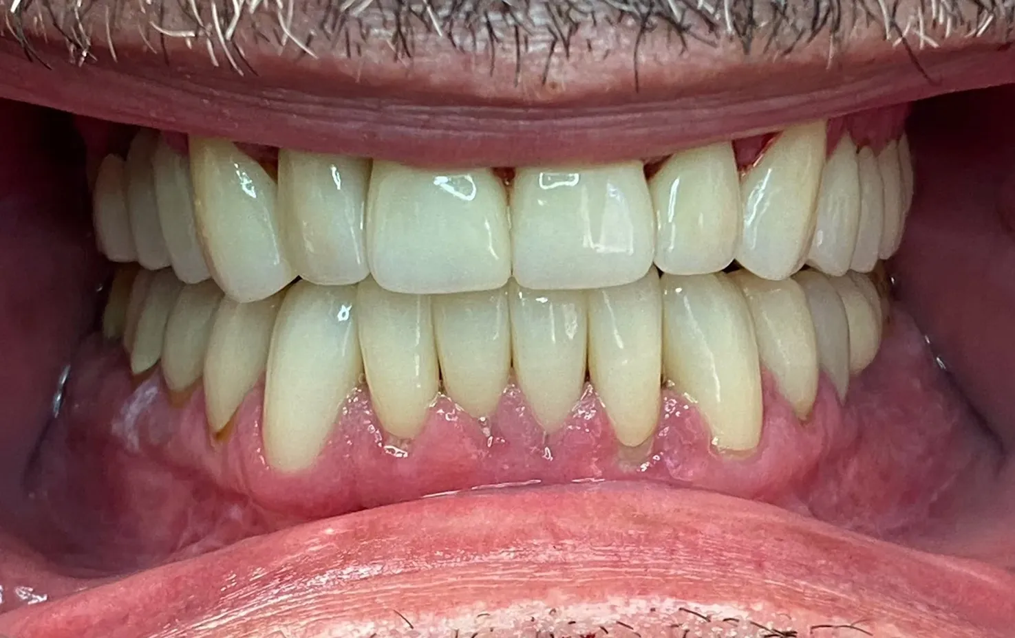
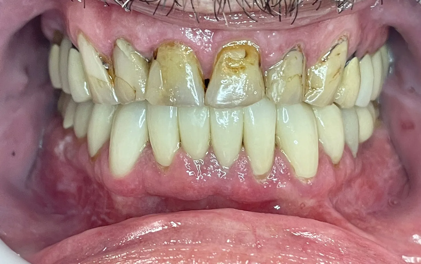
Before & Afters

Real Patient Transformations
Changing Lives, One Smile At A Time
Many patients step into our practice with dreams of a brand new grin. Others are looking to repair damage and get their oral health back on track. Seeing our patients with newfound confidence our mission here at Ideal Dental Care San Jose. Take a look at our Before & After gallery to explore real patient stories!























